Лечение десен в Люберцах
Помогаем при кровоточивости, воспалении и подвижности зубов: от диагностики до поддерживающей терапии.

При кровоточивости, болезненности и подвижности зубов лучше записаться в ближайшие дни — раннее лечение проще и предсказуемее.
Что важно знать о заболеваниях десен
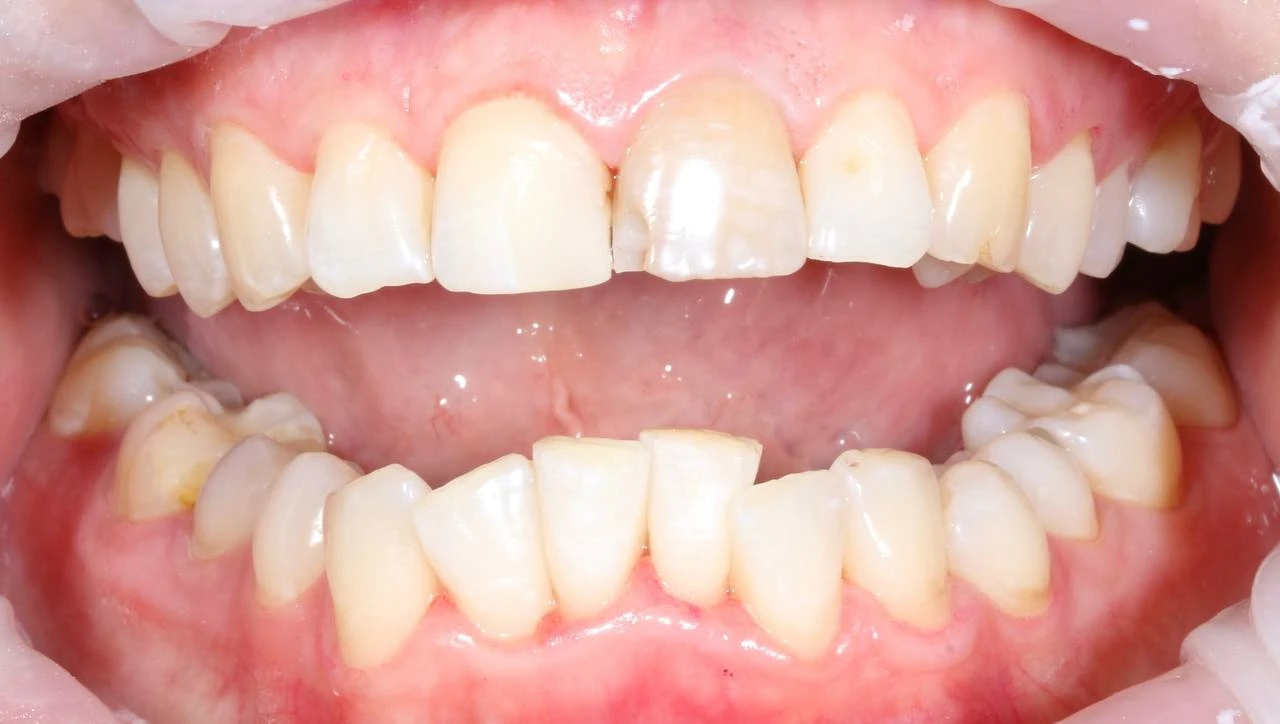
Воспаление десен может начинаться с легкой кровоточивости при чистке зубов, но без лечения постепенно переходить в более глубокие формы с поражением тканей вокруг зуба.
На ранних этапах, как правило, речь идет о гингивите. При вовлечении связочного аппарата и костной ткани развивается пародонтит, который может приводить к подвижности зубов.
Главная задача лечения - остановить воспаление, снизить бактериальную нагрузку и стабилизировать состояние тканей.
- Определяем стадию процесса и факторы риска
- Подбираем комплекс процедур по показаниям
- Формируем поддерживающий план, чтобы снизить риск рецидивов

Симптомы, при которых нужно проверить состояние десен
Кровоточивость при чистке зубовОдин из первых признаков воспаления десневого края и налета в труднодоступных зонах.
Покраснение и отекДесна становится чувствительной и может болезненно реагировать на касание.
Неприятный запах изо ртаЧасто связан с активностью бактерий и хроническим воспалением.
Чувствительность шеек зубовМожет сопровождать рецессию десны и оголение чувствительных участков.
Дискомфорт при жеванииВозникает при воспалении, травматичном прикусе или перегрузке отдельных зон.
Подвижность зубовТребует углубленной диагностики и комплексной пародонтологической терапии.
Запишитесь на консультацию

Как лечим заболевания десен

Лечение подбирается по клинической ситуации: от профессиональной гигиены и локальной противовоспалительной терапии до более глубоких пародонтологических процедур. Важно не только убрать симптомы, но и контролировать факторы, которые поддерживают воспаление.
Базовые этапы
Пародонтологический осмотр и оценка глубины карманов
Снятие зубных отложений над и под десной
Антисептическая обработка и локальная терапия
Коррекция домашней гигиены и подбор средств ухода
Контрольные визиты и поддерживающие процедуры
При необходимости врач дополнительно координирует лечение у терапевта, ортопеда или ортодонта, если на состояние десен влияет прикус и распределение жевательной нагрузки.
Этапы лечения десен в клинике
- 1

Первичный прием и диагностика
Оцениваем жалобы, состояние десневого края, уровень гигиены и глубину поражения тканей. - 2

Снимки и пародонтальная карта
По показаниям проводим рентген-диагностику для оценки опорных тканей и прогноза. - 3

Профессиональная гигиена
Удаляем мягкий и твердый налет, который поддерживает хроническое воспаление. - 4

Основное лечение
Проводим локальную и системную терапию по показаниям, контролируем динамику. - 5

Поддерживающий этап
Формируем график контрольных визитов для профилактики рецидива и стабилизации результата.
Почему важен поддерживающий этап
Заболевания десен часто имеют хроническое течение, поэтому регулярный контроль помогает держать воспаление под контролем.
Поддерживающие визиты обычно проводятся 1 раз в 3-6 месяцев, частота определяется врачом индивидуально.
Примеры комплексного лечения
Цены на лечение десен
Что влияет на цену лечения десен
Итоговая стоимость зависит от стадии воспаления, глубины поражения тканей, объема гигиенических и лечебных процедур, а также необходимости поддерживающих визитов. Точный расчет возможен после пародонтологической диагностики.
| Наименование услуг | Cтоимость |
|---|---|
| Лечение периодонтита | от 25 677 руб. |
| Лечение пародонтита | от руб. |
| Профессиональная гигиена полости рта | от от 5 100 руб. |


- 0%первоначальный взнос
- 0%переплата
- Понадобиться
только паспорт
Обретите уверенную здоровую красивую улыбку - улыбку мечты!
- высокоэстетичное протезирование
- виниры
- имплантация
- ортодонтическое лечение
Решайте проблему сейчас - оплачивайте в комфортном режиме
Стоматологическая помощь стала еще более доступной!


Больно не будет
- Современная анестезия
Импортная местная анестезия гарантирует комфорт и безопасность пациенту во время процедуры. Длительность эффекта составляет 2-3 часа, что обеспечивает возможность проведения лечения десен даже в самых сложных случаях.
- Комфортное лечение
Благодаря индивидуальному подходу и созданию комфортных условий, пациенты, во время лечения, ощущают себя спокойно и расслабленно.
- Быстрое восстановление
По завершении процедур, пациенту назначаются щадящие обезболивающие средства, но есть и такие пациенты, которые обходятся без них. Обычно процесс реабилитации занимает от 3 до 5 дней.
О клинике
Современные технологии, квалификация медицинских специалистов, накопленный опыт и, что наиболее важно, заботливое отношение к пациентам.
Основное направление деятельности заключается в предоставлении высококачественной стоматологической помощи, включая детскую стоматологию, терапевтическое и хирургическое лечение, имплантацию, ортодонтию и ортопедию.
Каждый месяц у нас проходят акции и специальные предложения



Мы ответим!
Одно посещение поможет вам решить проблему.
- Используем только современные технологии и материалы для обеспечения высокого качества услуг.
- Мы гарантируем полную безопасность всех процедур.


Как записаться к стоматологу-пародонтологу
позвонить администратору по телефону +7 (986) 000-09-03
- приехать к нам по адресу г.Люберцы, ул.8 Марта, д.20, к.2
заполнить
Вас примет врач с многолетним стажем, который проведет тщательную диагностику и назначит подходящее лечение.
Желаем здоровья!
Специальные предложения
- Все услуги
- Постоянная

В случае, когда трое, мы готовы предоставить вам скидку в размере 7%.
И если четверо и больше членов вашей семьи посещают нашу клинику, вы имеете право на скидку в размере 10%.
- Гигиена
- Постоянная

При прохождении профессиональной гигиены полости рта на первом приёме консультация бесплатно
- Ортодонтия
- Постоянная

- ● Детская: 3500р.
- ● Взрослая: 4900р.
- Все услуги
- Постоянная

Скидка 7% на все услуги нашей клиники для пенсионеров и ветеранам боевых действий.



























