Наши работы
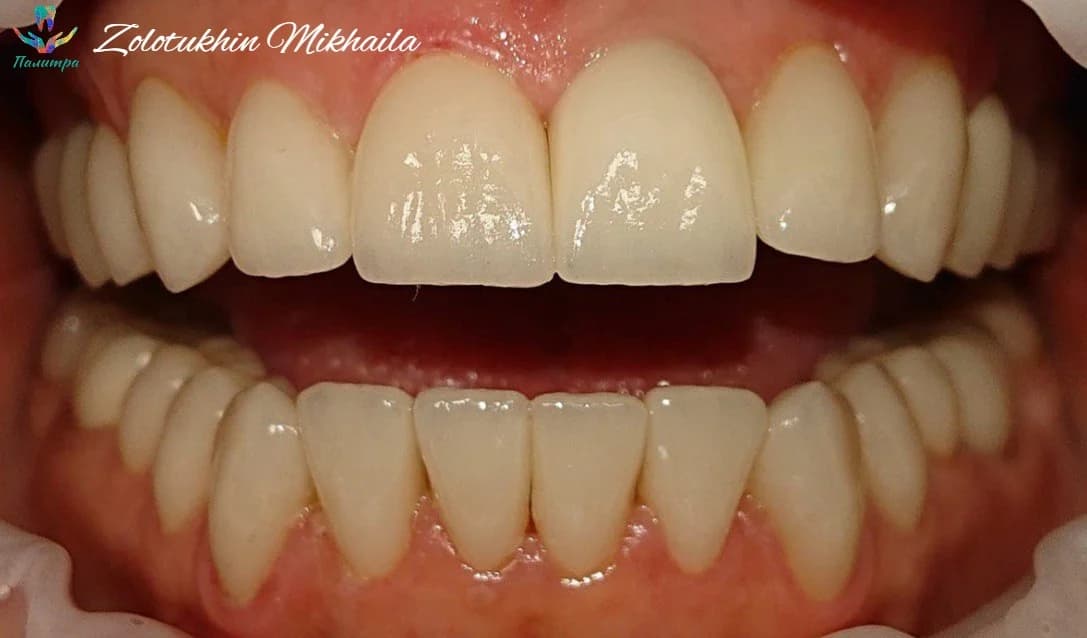
Золотухин Михаил АнатольевичТотальная реконструкция керамикой и винирамиПодробнее
Золотухин Михаил АнатольевичКерамические виниры и тотальная реабилитацияПодробнее
Золотухин Михаил АнатольевичВосстановление на имплантатах при полной адентииПодробнее
Золотухин Михаил АнатольевичПолные съёмные протезы на обе челюстиПодробнее
Золотухин Михаил АнатольевичТотальная реабилитация на имплантатах с локаторамиПодробнее
Шеянов Виктор АлексеевичДентальная имплантация в фронтальном отделе с пластикой десныПодробнее
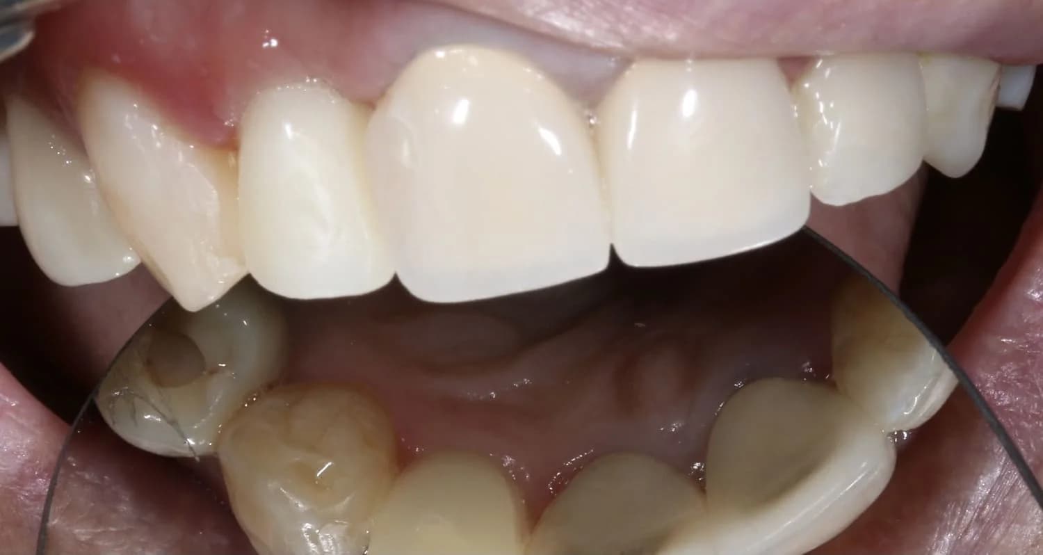
Шеянов Виктор АлексеевичДентальная имплантация с пластикой десныПодробнее
Шеянов Виктор АлексеевичТотальная реабилитация на имплантатах с локаторамиПодробнее
Шеянов Виктор АлексеевичПолные съёмные протезы на обе челюстиПодробнее
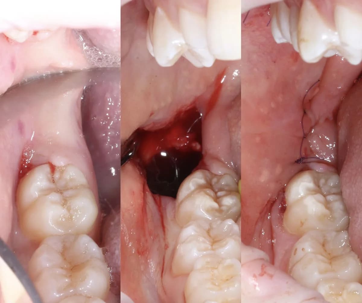
Шеянов Виктор АлексеевичУдаление зачатка зуба мудрости (14 лет)Подробнее
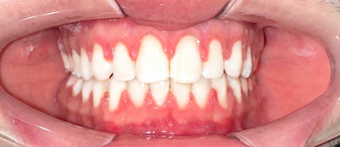
Мехтиева Айтан МазахировнаПрофессиональная гигиена полости ртаПодробнее
Мехтиева Айтан МазахировнаРеставрация с учётом анатомии и цветаПодробнее
Мехтиева Айтан МазахировнаЭстетическая реставрацияПодробнее
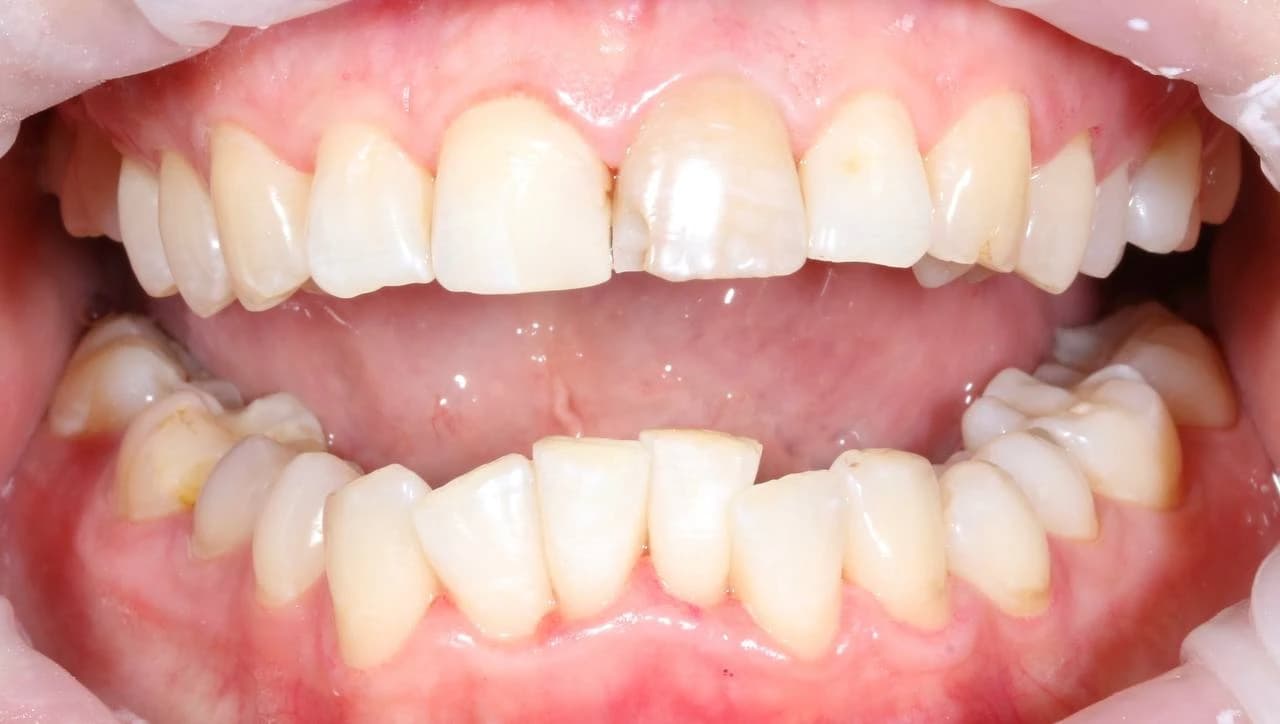
Мехтиева Айтан МазахировнаРезультат лечения: до и послеПодробнее
Мехтиева Айтан МазахировнаЛечение кариеса с восстановлением стенок зубаПодробнее
Мехтиева Айтан МазахировнаРеставрация зубов: форма и цветПодробнее
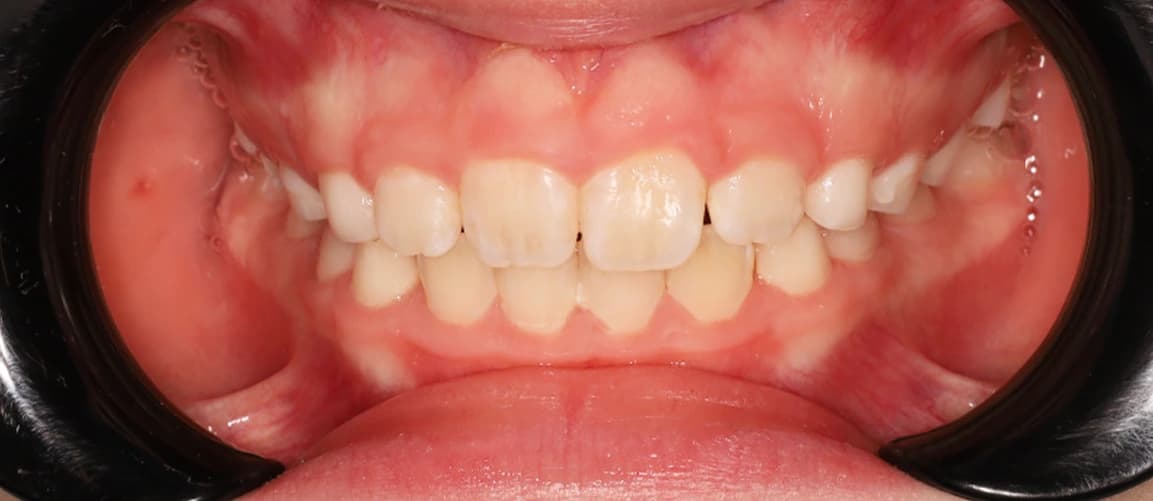
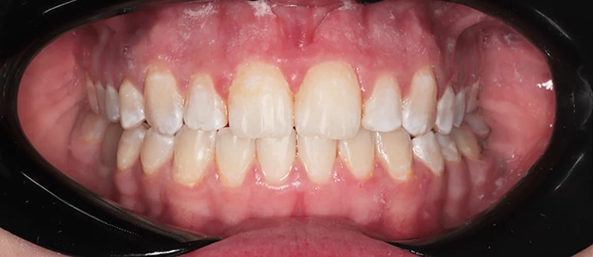
Жарких Алена СергеевнаОртодонтия в два этапа: пластинка и брекетыПодробнее
Жарких Алена СергеевнаЛечение на частичной брекет-системеПодробнее
Жарких Алена СергеевнаБрекет-система на верхней и нижней челюстиПодробнее
Жарких Алена СергеевнаЧастичные брекеты: ещё один клинический случайПодробнее
Жарких Алена СергеевнаОртодонтия при асимметрии без хирургииПодробнее
Жарких Алена СергеевнаДвухэтапное лечение: пластинка и частичные брекетыПодробнее
Одно посещение поможет вам решить проблему.
Мы предлагаем широкий спектр услуг, включающих диагностику, профилактику, лечение зубов и десен, а также эстетическую стоматологию в Люберцах.
- Используем только современные технологии и материалы для обеспечения высокого качества услуг.
- Мы гарантируем полную безопасность всех процедур.