Коронки на зуб
в Люберцах
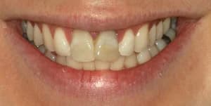
подбор коронки по нагрузке, эстетике и состоянию зуба

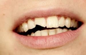
Скол, трещина или сильное разрушение зуба лучше оценить на приёме: ортопед подберёт коронку и план лечения до осложнений.
Что из себя представляют зубные коронки
Коронка на зуб - это индивидуальная ортопедическая конструкция, которая закрывает и защищает ослабленный зуб. Коронку выбирают, когда пломба уже не обеспечивает надежность, но корень и ткани позволяют сохранить зуб. Материал подбирают под нагрузку и зону улыбки.
- Восстановить жевательные и речевые функции
- Правильно распределить нагрузку на челюсть
- Вернуть привлекательный внешний вид улыбки
- Предотвратить развитие сопутствующих патологий

Показания к установке коронок

Значительное разрушение зуба (более 50%), когда пломба не обеспечивает надежное восстановление. Часто вызвано запущенным кариесом.

Большой скол или трещина зуба в результате травмы, при условии сохранения корня. Коронка обеспечивает прочность и эстетику.

Флюороз: появление стойких пятен на эмали из-за избытка фтора, которые не поддаются традиционному отбеливанию.

Необходимость эстетической реставрации при дефектах: выраженная кривизна, изменение формы, неудовлетворительный цвет эмали.
Коронка из металлокерамикиНадежное восстановление разрушенного зубаМатериал: Металлокерамика18 700 ₽ за коронкуСрок службы: 10-15 летСрок изготовления: от 3 днейДоступная стоимость
Прочность и долговечность
Восстановление формы и функции зуба
Хорошая эстетика по сравнению с полностью металлическими коронками
Коронка из диоксида цирконияВысокопрочное и эстетичное решение без металлаМатериал: Диоксид циркония33 000 ₽ за коронкуСрок службы: 15-20 летСрок изготовления: от 5 днейВысокая прочность и долгий срок службы
Естественный внешний вид в зоне улыбки
Полная биосовместимость, гипоаллергенность
Не вызывает потемнения десны
Коронка E-max (керамическая)Максимальная эстетика и естественностьМатериал: Керамика E-maxот 39 600 ₽ за коронкуСрок службы: 10-15 летСрок изготовления: от 5 днейВыраженная эстетика и естественная прозрачность
Часто выбирают для передних зубов
Полностью имитирует натуральный зуб
Отсутствие металлического каркаса, не вызывает аллергии
Как правильно выбрать коронку?
Оптимальный выбор коронки зависит от множества факторов: от места зуба в челюсти, до его роли в процессе жевания и общего состояния полости рта. При этом важно сбалансировать эстетику, прочность, функциональность, долговечность и совместимость материала с организмом.
Коронки для передних зубов: акцент на красоту
Когда речь идет о передних зубах, эстетика выходит на первый план. Здесь наилучшим решением станут цельнокерамические коронки. Они обладают высокой светопроницаемостью и позволяют добиться идеального совпадения с оттенком и формой соседних зубов, делая улыбку максимально натуральной.
Керамика гипоаллергенна, что минимизирует риск отторжения. Однако, стоит помнить, что она менее прочна, чем коронки с металлическим каркасом, и может быть подвержена сколам при значительных нагрузках, поэтому лучше подходят для зубов с небольшой нагрузкой.Коронки для жевательных зубов: надежность и долговечность
Жевательные зубы принимают на себя основную нагрузку при пережевывании пищи. Поэтому коронки для них должны быть максимально прочными. Металлокерамические или циркониевые конструкции – идеальный выбор для этих зон. Металлический каркас обеспечивает им устойчивость к износу и высоким нагрузкам, а керамическое покрытие придает зубам эстетический вид, хоть и не такой как цельная керамика.
Циркониевые коронки, в свою очередь, сочетают в себе высокую прочность и хорошую эстетику, являясь отличным компромиссом между двумя вариантами. Они также гипоаллергенны и долговечны.
Этапы установки коронок
- 1

Первичный осмотр и диагностика
Стоматолог осматривает полость рта, назначает рентгеновские снимки. С учетом полученных данных разрабатывается тактика дальнейших действий и совместно с пациентом производится выбор вида и материала коронок. - 2

Подготовка
До начала этапа протезирования в полости рта должны быть полностью устранены все источники инфекции. При необходимости врач снимает налет и камень, у сильно разрушенных зубов удалит пульпу. - 3

Изготовление
После сканирования полости рта, результаты отправляются зубному технику для изготовления анатомически точной коронки вашего зуба. - 4

Установка конструкции
Перед установкой производится финальная примерка изделия и если оно отвечает всем требованиям, врач снимет временный протез и фиксирует постоянный на специальный состав.

Больно не будет
- Современная анестезия
Импортная местная анестезия гарантирует комфорт и безопасность пациенту во время процедуры. Длительность эффекта составляет 2-3 часа, что обеспечивает возможность проведения имплантации даже в самых сложных случаях.
- Комфортное лечение
Благодаря индивидуальному подходу и созданию комфортных условий, пациенты, во время процедуры имплантации, ощущают себя спокойно и расслабленно.
- Быстрое восстановление
По завершении процедуры имплантации, пациенту назначаются щадящие обезболивающие средства, но есть и такие пациенты, которые обходятся без них. Обычно процесс реабилитации занимает от 3 до 5 дней.
Мы ответим!
Запишитесь на консультацию

В нашей клинике работают только высококвалифицированные и опытные медицинские специалисты.
1320счастливых пациентов прошедших протезирование за последние 3 года27лет опыта работы
500операций в 2023 году7лет опыта работы
75завершенных протезирований зубов
за 2024 год4года опыта работы
О клинике
Современные технологии, квалификация медицинских специалистов, накопленный опыт и, что наиболее важно, заботливое отношение к пациентам.
Основное направление деятельности заключается в предоставлении высококачественной стоматологической помощи, включая детскую стоматологию, терапевтическое и хирургическое лечение, имплантацию, ортодонтию и ортопедию.
Каждый месяц у нас проходят акции и специальные предложения



- 0%первоначальный взнос
- 0%переплата
- Понадобиться
только паспорт
Обретите уверенную здоровую красивую улыбку - улыбку мечты!
- высокоэстетичное протезирование
- виниры
- имплантация
- ортодонтическое лечение
Решайте проблему сейчас - оплачивайте в комфортном режиме
Стоматологическая помощь стала еще более доступной!

Одно посещение поможет вам решить проблему.
- Используем только современные технологии и материалы для обеспечения высокого качества услуг.
- Мы гарантируем полную безопасность всех процедур.
Специальные предложения
- Все услуги
- Постоянная

В случае, когда трое, мы готовы предоставить вам скидку в размере 7%.
И если четверо и больше членов вашей семьи посещают нашу клинику, вы имеете право на скидку в размере 10%.
- Гигиена
- Постоянная

При прохождении профессиональной гигиены полости рта на первом приёме консультация бесплатно
- Ортодонтия
- Постоянная

- ● Детская: 3500р.
- ● Взрослая: 4900р.
- Все услуги
- Постоянная

Скидка 7% на все услуги нашей клиники для пенсионеров и ветеранам боевых действий.


























