Имплантация All-on-6
All-on-6 выбирают, когда нужен фиксированный протез с усиленной опорой и более равномерной нагрузкой. Метод подходит при высоких функциональных требованиях.

All-on-6 дает высокую стабильность при полной адентии - ранняя консультация помогает избежать лишних этапов и ускорить реабилитацию.
Ключевые особенности протокола All-on-6:
Что такое All-on-6?
Это методика установки полного зубного протеза на челюсть с использованием шести имплантов.

При данном методе протез фиксируется на шести имплантах, предварительно установленных в челюстную кость. Перед установкой имплантов обычно удаляются оставшиеся зубы, а затем протез крепится к шести имплантам, вживленным в стратегически важных точках челюсти.
- 1Титановый корень с винтовой резьбой, обеспечивающий надежную фиксацию в кости.
- 2Абатмент, соединяющий коронку с имплантом.
- 3Коронка, видимая часть зуба, отвечающая за эстетику и жевательную функцию.
Варианты несъемного протезирования на 6 имплантах

All-on-6 на верхней челюсти
Наклонная установка имплантатов позволяет обойти гайморову пазуху, часто исключая необходимость в синус-лифтинге.

All-on-6 на верхней и нижней челюсти
Комплексное решение для лечения полной адентии. Вы получаете восстановление зубного ряда и можете быстро вернуться к привычному образу жизни.

All-on-6 на нижней челюсти
Угловое размещение имплантов позволяет избежать нижнечелюстного канала, что снижает потребность в костной пластике.
All-on-6: зачем две дополнительные опоры и когда это имеет смысл по сравнению с All-on-4
- Шесть имплантов распределяют силу жевания на больше точек, это заметнее при длинном протезном ряду и жёсткой жевательной нагрузке.
- Протокол чаще обсуждают при высокой жевательной нагрузке, выраженном бруксизме или когда врач хочет запас по опорам.
- Лишние импланты дают запас устойчивости, если со временем меняется кость, прикус или нагрузка на конструкцию.
- Фиксированная конструкция не снимается на ночь: это другой уровень комфорта по сравнению с полным съёмным протезом.
- Нёбо не закрыто пластиной съёмника, речь и ощущения во рту ближе к естественным, чем у классического полного протеза.
- All-on-6 не заменяет диагностику: если кости мало, сначала обсуждают объём аугментации или другой план, а не «просто больше имплантов».
- По сравнению с All-on-4 две опоры могут снизить пиковые нагрузки на отдельный имплант, но решение всегда индивидуально.
- Планирование по КТ включает положение имплантов, длину винтов и жевательные контакты будущего протеза.
- Наблюдение включает контроль прикуса, состояния дёсен и сервис винтовой фиксации по графику клиники.
- Срок службы зависит от гигиены, курения, сопутствующих болезней и регулярных осмотров, а не только от числа имплантов.
Какая имплантация подходит вам?

Частый вариант, когда имплант устанавливают сразу после удаления зуба. Формирователь десны может ставиться в день операции по показаниям.
Проведение всех хирургических этапов для восстановления зуба в один прием.
Процедуру проводим бережно, с контролем комфорта на всех этапах.
Благодаря современным методикам хирургии, нет необходимости в выполнении «наращивания» костной ткани
В зоне улыбки можно получить естественный внешний вид конструкции.
Восстановление утраченного зуба в день операции
Сразу после удаления зуба
Когда не нужно наращивать костную ткань
Восстановление зуба за одно посещение
Быстрое восстановление и заживление
Минимум болевых ощущений


Метод применим как для жевательных, так и для фронтальных зубов. Сама процедура занимает всего 15-20 минут.
На первом этапе процесса имплантации происходит установка искусственного корня, после чего начинается его приживление.
Для достижения правильного контура десны, через 3-5 месяцев необходимо установить формирователь.
После завершения процесса остеоинтеграции импланта, закрепляем протез или коронку в нужном положении.
Процедура выполняется бережно, под местной анестезией.
Зуб удалён давно
Недостаток костной ткани
Самый надёжный способ имплантации
Минимальный риск осложнений
Может понадобиться наращивание костной ткани


Решение проблемы отсутствия 4 и более соседних зубов достигается быстрой установкой несъемного протеза на 4 имплантатах.
Применяется у пациентов с дефицитом костной ткани при развитии пародонтита и пародонтоза
Полноценное восстановление всех функций зубочелюстной системы при отсутствии всех зубов
Необходимость более надежной фиксации протеза, в случае альтернативного решения съемному протезированию
Не требуется остеопластика, даже если костная ткань атрофирована в значительной степени.
Восстановление не только жевательных функций, но и высоких эстетических параметров
Малотравматичная операция с контролем болевых ощущений
Отсутствует большинство или все зубы
Пародонтоз тяжёлой степени, недостаток костной ткани
Минимальная травматичность
Нет необходимости в костной пластике
Быстрое восстановление всех зубов на челюсти

на 4-х имплантах

Шесть имплантатов служат основой для несъемного протеза. Это позволяет быстро решить проблему отсутствия 4 и более расположенных подряд зубов.
Усовершенствованная версия имплантации All-on-4
В боковых отделах установлены дополнительные титановые имплантаты для усиления конструкции.
Установка за 1 день
Повышенная первичная стабильность
Применяется у пациентов с дефицитом альвеолярного отростка, при пародонтозе и пародонтите.
Отсутствует большинство или все зубы на челюсти
Умеренная или значительная атрофия костной ткани
Необходимость в устойчивой фиксации протеза
Максимальная стабильность и надежность протеза
Равномерное распределение жевательной нагрузки
Высокая долговечность конструкции и отсутствие дискомфорта
Возможность избежать костной пластики при умеренной атрофии
Быстрое восстановление эстетики и функции зубов

на 6-ти имплантах
Используемые системы имплантации
- Испания

KLOCKNERИмплант с установкой38 500 ₽от 33 000 ₽Коронка на имплант59 000 ₽от 51 000 ₽Категория имплантастандартГарантияпожизненноВремя приживления8-12 недель - Южная Корея

DentiumИмплант с установкой59 500 ₽от 48 000 ₽Коронка на имплант59 000 ₽от 51 000 ₽Категория имплантастандартГарантияпожизненноВремя приживления8-12 недель - Швейцария

StraumannИмплант с установкой89 000 ₽от 77 000 ₽Коронка на имплант59 000 ₽от 51 000 ₽Категория имплантапремиумГарантияпожизненноВремя приживления8-12 недель
Основные этапы имплантации All-on-6 в клинике Палитра
- 1.Подготовительный этапДиагностика
Компьютерная томографияДля точной оценки состояния зубов и костной ткани
Определение оптимального метода имплантацииВыбор методики, основанный на индивидуальных особенностях
Разработка индивидуального плана леченияПодробное описание всех этапов и процедур
Заключение договораФиксируем конечную стоимость имплантации
- 2.Хирургический этапУстановка имплантов
3D планирование имплантацииДля точного позиционирования имплантов и предсказуемого прикуса
Установка имплантовУстановка 6 имплантов, часто с удалением зубов, за одно посещение
АнестезияИндивидуальный подбор медикаментов для комфорта и быстрого восстановления
Работа специалистов клиникиДоверьтесь опытному хирургу-имплантологу на всем пути к здоровой улыбке
- 3.Ортопедический этапУстановка протезов
Мультиюнит абатментыОригинальные абатменты для надежной винтовой фиксации протеза, подобранные индивидуально
Трансферные матрицыДля создания точного слепка челюсти
Цифровое планированиеВиртуальное моделирование будущего протеза и жевательных контактов
Работа врачей клиникиСоздание протеза, включающее совместную работу ортопеда и зубного техника

Больно не будет
- Современная анестезия
Импортная местная анестезия гарантирует комфорт и безопасность пациенту во время процедуры. Длительность эффекта составляет 2-3 часа, что обеспечивает возможность проведения имплантации даже в самых сложных случаях.
- Комфортное лечение
Благодаря индивидуальному подходу и созданию комфортных условий, пациенты, во время процедуры имплантации, ощущают себя спокойно и расслабленно.
- Быстрое восстановление
По завершении процедуры имплантации, пациенту назначаются щадящие обезболивающие средства, но есть и такие пациенты, которые обходятся без них. Обычно процесс реабилитации занимает от 3 до 5 дней.
Мы ответим!
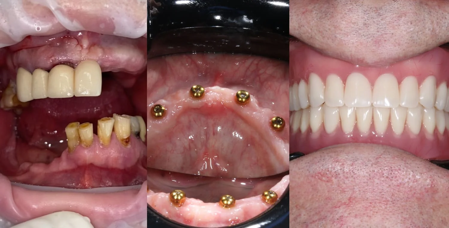
Посмотрите, как меняются улыбки
Запишитесь на консультацию

В нашей клинике работают только высококвалифицированные и опытные медицинские специалисты.
1320счастливых пациентов прошедших протезирование за последние 3 года27лет опыта работы
500операций в 2023 году7лет опыта работы
745операций с 2022 года5лет опыта работы
75завершенных протезирований зубов
за 2024 год4года опыта работы
О клинике
Современные технологии, квалификация медицинских специалистов, накопленный опыт и, что наиболее важно, заботливое отношение к пациентам.
Основное направление деятельности заключается в предоставлении высококачественной стоматологической помощи, включая детскую стоматологию, терапевтическое и хирургическое лечение, имплантацию, ортодонтию и ортопедию.
Каждый месяц у нас проходят акции и специальные предложения



Рассчитайте стоимость имплантации
за 30 секунд ответив всего на 4 вопроса
Выберите верный для Вас ответ
и нажмите кнопку “Далее”
Отвечайте на вопросы и получите расчет стоимости имплантации + подарки в конце

- 0%первоначальный взнос
- 0%переплата
- Понадобиться
только паспорт
Обретите уверенную здоровую красивую улыбку - улыбку мечты!
- высокоэстетичное протезирование
- виниры
- имплантация
- ортодонтическое лечение
Решайте проблему сейчас - оплачивайте в комфортном режиме
Стоматологическая помощь стала еще более доступной!

Одно посещение поможет вам решить проблему.
- Используем только современные технологии и материалы для обеспечения высокого качества услуг.
- Мы гарантируем полную безопасность всех процедур.
Специальные предложения
- Все услуги
- Постоянная

В случае, когда трое, мы готовы предоставить вам скидку в размере 7%.
И если четверо и больше членов вашей семьи посещают нашу клинику, вы имеете право на скидку в размере 10%.
- Гигиена
- Постоянная

При прохождении профессиональной гигиены полости рта на первом приёме консультация бесплатно
- Ортодонтия
- Постоянная

- ● Детская: 3500р.
- ● Взрослая: 4900р.
- Все услуги
- Постоянная

Скидка 7% на все услуги нашей клиники для пенсионеров и ветеранам боевых действий.


























