Ортодонтия
Мы превращаем проблемы с зубами
в возможности для улыбки!

Дискомфорт при жевании, скученность зубов или неудобный прикус лучше обсудить на консультации: врач оценит ситуацию и предложит план коррекции.
Детский ортодонтЛюберцы: приём детей и подростковВозраст: С 5–7 лет и старшеот 8 690 ₽Формат: Диагностика и планАдрес: ул. 8 Марта, ЛюберцыКонсультации и лечение прикуса у детей
Связка с детским отделением клиники
Подробности и запись — на странице услуги
ЭлайнерыКомфортное и незаметное исправление прикусаМатериал: Медицинский полимер69 300 ₽от 60 500 ₽Срок лечения: от 6 месяцевЗамена капп: Каждые 2 неделиПрактически незаметны на зубах
Съемные - удобство в гигиене и приеме пищи
Комфортное лечение без металлических элементов
Брекеты керамическиеЭстетичное и эффективное исправление прикусаМатериал: Керамика83 600 ₽от 66 000 ₽Срок лечения: 1-3 годаЭстетика: ВысокаяМенее заметны на зубах, чем металлические
Прочные и надежные
Не окрашиваются от пищевых красителей (в отличие от некоторых пластиковых)
Брекеты металлическиеНадежное и доступное исправление прикусаМатериал: Нержавеющая сталь57 200 ₽от 44 000 ₽Срок лечения: 1-3 годаПрочность: ВысокаяСамый надежный и эффективный вид брекетов
Наиболее доступная цена
Подходят для исправления сложных случаев
Аппарат ХаасаРасширение верхней челюстиНазначение: Расширение челюстиот 38 500 ₽Срок ношения: 4-6 месяцевВозраст: Детский/ПодростковыйИсправление сужения верхней челюсти
Подготовка к брекет-системе
Улучшение дыхания и речи

Брекеты или элайнеры?
Выбор между брекетами и элайнерами зависит от индивидуальных особенностей и пожеланий пациента.
- Брекеты – это несъёмная ортодонтическая конструкция, которая состоит из замочков, фиксирующихся на поверхности зуба, и металлической дуги, которая придаёт зубам нужное положение. Брекеты обычно используются для коррекции серьезных нарушений прикуса и выравнивания зубов.
- Элайнеры– это прозрачные каппы, которые изготавливаются индивидуально для каждого пациента с использованием компьютерного моделирования. Элайнеры мягко воздействуют на зубы и могут использоваться для коррекции незначительных дефектов прикуса или в качестве ретейнеров после ношения брекетов.
Как происходит установка брекетов и элайнеров?
Цены на ортодонтические системы
- на лечение 0%. Срок до 6 месяцев
- Верните налог 13% за лечение в конце года
- Программа скидок для всей семьи

Первичная консультация стоматолога
При прохождении профессиональной гигиены полости рта на первом приёме консультация бесплатно
Бесплатно
Установка брекет-системы
Исправьте прикус и выровняйте зубы с помощью современных брекет-систем. Доступны различные варианты, от классических металлических до эстетичных керамических. Запишитесь на консультацию и узнайте, какие брекеты подойдут именно вам!
от 44 000 ₽
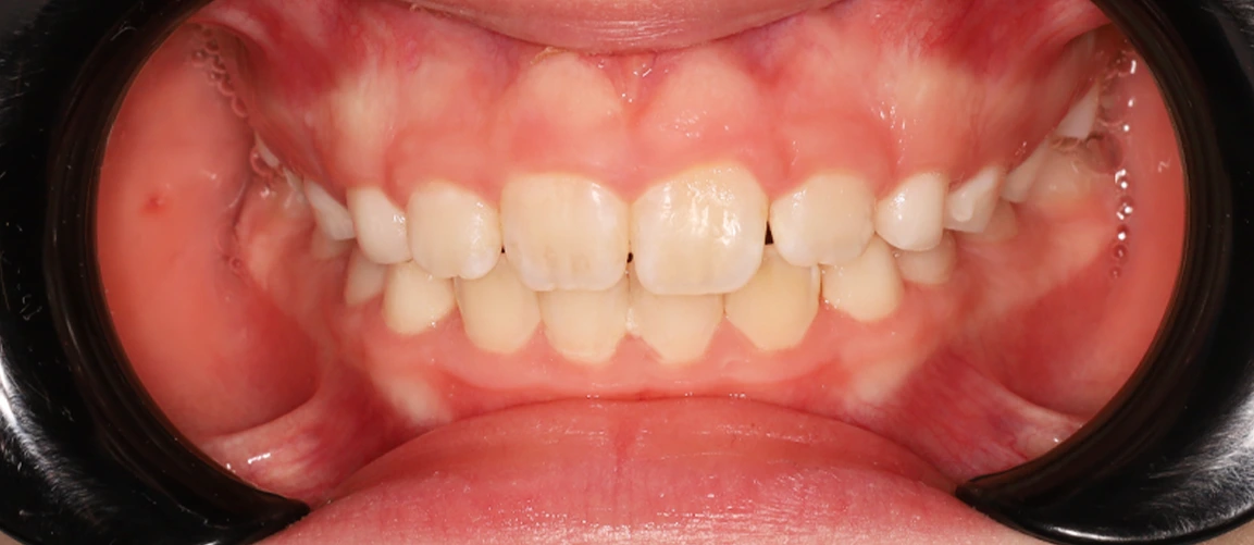
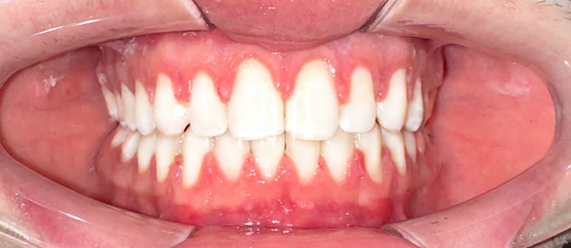
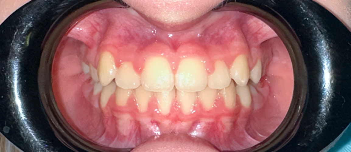
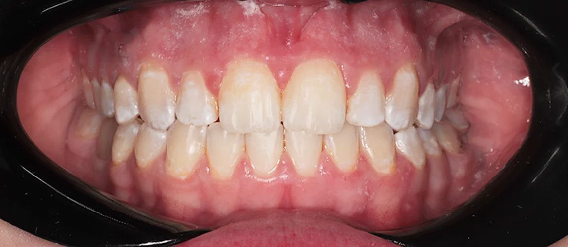
Посмотрите, как меняются улыбки
В нашей клинике работают только высококвалифицированные и опытные медицинские специалисты.
430пациентов прошедших лечение брекетами за последние 3 года7лет опыта работы
120ортодонтических планов лечения в клинике4года опыта работы
Стоимость услуг
| Наименование услуг | Cтоимость |
|---|---|
| Диагностический комплекс | 8 690 руб. |
| Брекет-система металлическая | от 44 000 руб. |
| Брекет-система керамическая | от 66 000 руб. |
| Наименование услуг | Cтоимость |
|---|---|
| Создание Set-up модели | от 55 000 руб. |
| Элайнеры - курс Esthetic | от 60 500 руб. |
| Элайнеры - курс Simple | от 71 500 руб. |

- 0%первоначальный взнос
- 0%переплата
- Понадобиться
только паспорт
Обретите уверенную здоровую красивую улыбку - улыбку мечты!
- высокоэстетичное протезирование
- виниры
- имплантация
- ортодонтическое лечение
Решайте проблему сейчас - оплачивайте в комфортном режиме
Стоматологическая помощь стала еще более доступной!


Больно не будет
- Современная анестезия
Импортная местная анестезия гарантирует комфорт и безопасность пациенту во время процедуры. Длительность эффекта составляет 2-3 часа, что обеспечивает возможность проведения лечения даже в самых сложных случаях.
- Комфортное лечение
Благодаря индивидуальному подходу и созданию комфортных условий, пациенты, во время процедуры лечения, ощущают себя спокойно и расслабленно.
- Быстрое восстановление
По завершении процедуры, пациенту назначаются щадящие обезболивающие средства, но есть и такие пациенты, которые обходятся без них. Обычно процесс реабилитации занимает от 3 до 5 дней.
О клинике
Современные технологии, квалификация медицинских специалистов, накопленный опыт и, что наиболее важно, заботливое отношение к пациентам.
Основное направление деятельности заключается в предоставлении высококачественной стоматологической помощи, включая детскую стоматологию, терапевтическое и хирургическое лечение, имплантацию, ортодонтию и ортопедию.
Каждый месяц у нас проходят акции и специальные предложения



Мы ответим!
Одно посещение поможет вам решить проблему.
- Используем только современные технологии и материалы для обеспечения высокого качества услуг.
- Мы гарантируем полную безопасность всех процедур.
Специальные предложения
- Все услуги
- Постоянная

В случае, когда трое, мы готовы предоставить вам скидку в размере 7%.
И если четверо и больше членов вашей семьи посещают нашу клинику, вы имеете право на скидку в размере 10%.
- Гигиена
- Постоянная

При прохождении профессиональной гигиены полости рта на первом приёме консультация бесплатно
- Ортодонтия
- Постоянная

- ● Детская: 3500р.
- ● Взрослая: 4900р.
- Все услуги
- Постоянная

Скидка 7% на все услуги нашей клиники для пенсионеров и ветеранам боевых действий.


Как записаться к стоматологу-ортодонту
позвонить администратору по телефону +7 (986) 000-09-03
- приехать к нам по адресу г.Люберцы, ул.8 Марта, д.20, к.2
заполнить
Вас примет врач с многолетним стажем, который проведет тщательную диагностику и назначит подходящее лечение.
Желаем здоровья!























